便秘の原因 あおえ動物病院
犬の排便の状態は、健康状態を示す大切なバロメーターです。 診断には、レントゲン検査や超音波検査などを実施します。 また経過が長いことが多く、最初は軽度の便秘から始まりますが、次第に排便に時間を要したり便が細くなります。 老犬 では消化吸収能力や消化液の分泌も低下しますが、消化しきれない物が腸内に残ると、腸内浸透圧が上がります。 その結果、腸内の水分量が増えるとともに、水分をうまく吸収できなくなり、下痢となってしまうのです。 例えば、 牛乳 の乳糖が分解しづらいことによる下痢があげられます。 獣医師監修犬に人間用の牛乳(少量)を飲ませても大丈夫? ダメな理由は? アレル
犬 便秘 レントゲン
犬 便秘 レントゲン- 犬の前立腺肥大は、高齢の犬で 多いですが、実際は5歳くらいの犬でも 半数くらいは発症しているとされています。 そして、9~10歳になると90%以上の 犬に前立腺の肥大が見られるようになります。 前立腺は、お腹の中にありますので 直腸の場所を図でチェック! まずは、大腸がどこにあるのか、図で確認してみましょう。 大腸は、成人で15mほどの長さがあります。 盲腸、上行結腸、横行結腸、下行結腸、S状結腸、直腸と、6つの部位に分けられます。 大腸では、小腸で吸収されずに残った水分や、ビタミン、ミネラ
うんちがでない 右京動物病院 ヘルスケアセンター 京都市右京区 年中無休 犬 猫の総合健康管理施設 高度医療 トリミング ペットホテル
タピオカの飲み過ぎで病院搬送された14歳の少女、体内から未消化のタピオカが100個以上発見される Photo By 文:岩見旦 若い女性を中心に、ブームとなっているタピオカミルクティー。 もちもちの食感が人気を呼び、街中の専門店には長蛇の列が犬と猫の健康診断 レントゲン検査は、外部からでは見ることができない臓器や骨の状態を検査します。 肺炎、気管支炎、便秘、心臓病、腎臓病、骨折、脱臼などの様々な病気を発見することができま 犬の便秘は何日まで様子をみていいのか? 結論から言うと、犬の場合は 便が何日出ないと問題という指標はない です。 以下で説明しますが、食事内容や環境、その日の体調によって排便状況も異なるからです。 トラまりも 人も便が出ない日や柔らかい
動物病院の費用(猫の便秘)について 今日猫の便秘で動物病院に行ったら1万368円でした。この金額は妥当ですか。 内訳は 診察料 540円 レントゲン(2枚)43円 浣腸 16円 皮下点滴 1944円 皮下注射 1296円 内服薬(シロップ) 648円 でした。 猫のとらじ、1年半ぶりの便秘で通院中です。 今日撮ったレントゲンは、素人目にもお腹の中がウンチでギュウギュウでした。 今回の便秘の経過は、 10月8日に普通に排便 10月9,10日に便秘 レントゲン検査: 4000~8000円 (犬の大きさにもよる) 『バリウム造影検査』 レントゲンや超音波検査で胃や腸に 何らかの異常が見られる場合には より詳しく状態を見るための造影検査 が行われることもあります バリウム造影検査では 胃や腸管の
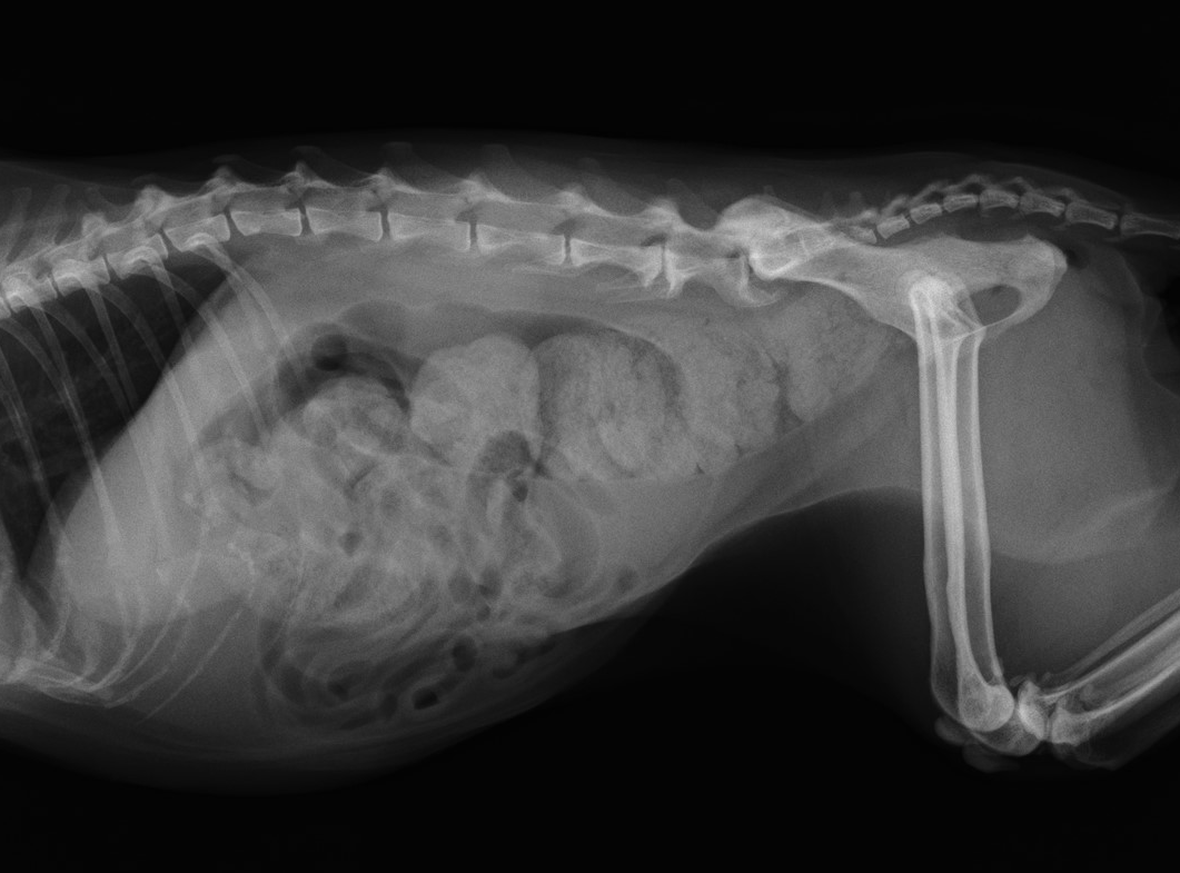
犬 便秘 レントゲンのギャラリー
各画像をクリックすると、ダウンロードまたは拡大表示できます
![]() | ||
![]() | ||
![]() | ||
「犬 便秘 レントゲン」の画像ギャラリー、詳細は各画像をクリックしてください。
![]() | ||
![]() | ![]() | ![]() |
「犬 便秘 レントゲン」の画像ギャラリー、詳細は各画像をクリックしてください。
![]() | ![]() | |
![]() | ![]() | |
「犬 便秘 レントゲン」の画像ギャラリー、詳細は各画像をクリックしてください。
![]() | ||
「犬 便秘 レントゲン」の画像ギャラリー、詳細は各画像をクリックしてください。
![]() | ![]() | |
![]() | ||
![]() | ||
「犬 便秘 レントゲン」の画像ギャラリー、詳細は各画像をクリックしてください。
![]() | ![]() | |
![]() | ![]() | ![]() |
「犬 便秘 レントゲン」の画像ギャラリー、詳細は各画像をクリックしてください。
![]() | ||
![]() | ![]() | |
「犬 便秘 レントゲン」の画像ギャラリー、詳細は各画像をクリックしてください。
![]() | ![]() | |
![]() | ![]() | |
「犬 便秘 レントゲン」の画像ギャラリー、詳細は各画像をクリックしてください。
![]() | ||
![]() | ![]() | ![]() |
![]() | ||
「犬 便秘 レントゲン」の画像ギャラリー、詳細は各画像をクリックしてください。
![]() | ||
![]() | ||
「犬 便秘 レントゲン」の画像ギャラリー、詳細は各画像をクリックしてください。
![]() | ![]() | ![]() |
![]() | ||
![]() | ![]() | |
「犬 便秘 レントゲン」の画像ギャラリー、詳細は各画像をクリックしてください。
![]() | ||
![]() |
尿道閉塞(尿閉) 排尿障害 腎泌尿器系は体内の代謝により生成された老廃物を尿として体外に捨てる排出器官です。 老廃物の代表は尿素であり、蛋白質が肝臓で分解されて尿素となり、腎臓で尿として排出されます。 また、腎臓は老廃物の排出だけで 犬の腎臓病と便秘との関係 14年、東北大学の阿部高明教授のグループは、 腎臓病を患ったマウスに便秘治療薬を服用させることによって、同マウスの腎臓疾患の進行を抑える効果 があったことを報告しました。 この報告の内容は、生命を維持するために体内で作られてしまう尿毒症物
Incoming Term: 犬 便秘 レントゲン,































__large.jpg)













Aucun commentaire:
Publier un commentaire